Abdome 19/11/2025 Vista Frontal


Abdome 19/11/2025 Vista Axial


(TC) de Abdômen com cortes axiais, em janela de tecidos moles, com contraste 19 11 2025


(TC) de Abdômen Superior com cortes axiais, em janela de tecidos moles, com contraste, focando principalmente no fígado.


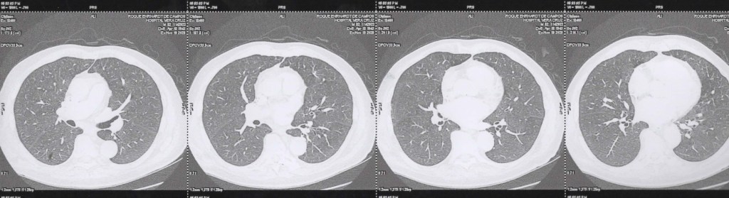
TCM Torax 19 11 2025 Axial janela pulmonar



TCM Torax 19 11 2025 Axial janela pulmonar cortes inferiores


TCM Torax 19 11 2025 janela de mediastino/tecidos moles.


(TC) de Tórax com cortes coronais (vista frontal), em janela pulmonar, com técnica MIP (Maximum Intensity Projection).

